一、 實驗目的
客戶通過CO-IP實驗證實A、B兩個蛋白有相互作用,想進一步通過體外實驗驗證,其中A蛋白大小為45kDa,親水性較好,選用大腸桿菌系統獲得GST-A蛋白; B蛋白疏水性很強,且非常大(275kDa),普健根據多年蛋白制備經驗,推薦客戶選擇用昆蟲系統表達B蛋白(PS:昆蟲桿狀病毒能容納大分子的插入片段,能包裝大的基因片段)
二、 B蛋白制備流程
1、 B蛋白分析:
B蛋白一共2511AAs,無信號肽,無跨膜結構域,疏水性很強,選取1-2511AAs為表達目的片段,C端添加6*his標簽;
(1)信號肽分析結果:

(2)疏水性分析結果:

(3)跨膜區分析結果:

1、 基因優化合成B蛋白,構建pFast-bac1-B表達質粒;
2、 藍白斑篩選方法獲得重組的Bacmid,經PCR鑒定陽性后,轉染sf9細胞,獲得P1代病毒粒子,通過P1代表達測試,鑒定是否有目的蛋白表達;
3、 生產P2代病毒粒子,進行MOI測試,選最優條件進行200ml放大及純化,獲得目的蛋白;
三、 實驗結果
圖1:P1代表達測試結果

A. 考馬斯亮藍染色. B. His 標簽抗體WB鑒定蛋白 (ECL曝光).
圖2:P2代MOI測試結果

考馬斯亮藍染色
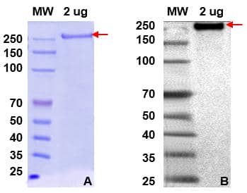
圖3:樣品純化后QC結果

A.考馬斯亮藍染色. B. His 標簽抗體WB鑒定蛋白 (ECL曝光).
實驗結果分析:
SDS-PAGE結果顯示260kDa左右有條帶,通過His 標簽,WB檢測曝出與目的蛋白大小一致的條帶,說明SDS-PAGE膠上的條帶為目的蛋白條帶,蛋白純度為90%。
蛋白表達量為:200ml可純化到1.8mg His-B蛋白
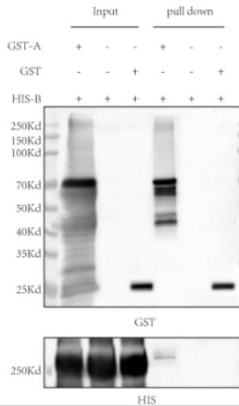
圖4:GST-A蛋白與HIS-B蛋白GST pull down實驗結果

結論:GST-A蛋白與His-B蛋白是有相互作用的。
相關服務

聯系我們




