1.載體構建
(1)可將cDNA克隆至客戶或者普健生物提供的哺乳細胞的表達載體中
(2)可在表達載體中添加分泌信號肽和純化標簽,促進蛋白分泌表達及滿足一步親和純化的需求
(3)能生產并鑒定高效穩定細胞系,適合大規模發酵生產
2.穩定基因表達符合長期生產需求,整個實驗操作流程提供長期穩定及規模可調的蛋白生產
3.瞬時表達(TGE)
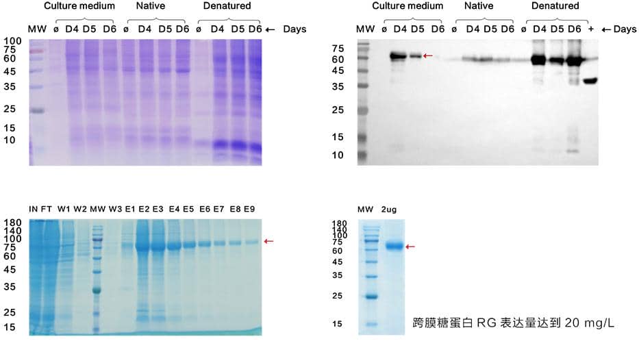
(1)與穩定基因表達相比,TGE主要適用于短期內制備重組蛋白,一般在10天內即可快速轉染,無需質粒DNA的遺傳性選擇
(2)普健生物的瞬時表達使用懸浮細胞,能夠完成毫升到100L的體積的蛋白表達
4.工藝過程開發及擴大規模。普健生物能夠優化表達過程以及表達產物,預測細胞表達量,摸索發酵罐發酵條件,適合大規模發酵生產
5.純化:普健生物擁有完善的蛋白純化系統,親和純化,凝膠過濾,離子交換及疏水層析等純化方法,能夠完成各類型蛋白的純化,以及純化工藝的摸索
普健生物提供表達載體構建、瞬時轉染、表達測試及大規模動物細胞發酵和蛋白純化等一站式蛋白技術服務。
|
表達方式 |
細胞 |
|
瞬時表達 |
HEK293,HEK293細胞來源于293細胞系,采用無血清懸浮培養CHO-S,CHO-S細胞是來自中國倉鼠卵巢細胞的克隆分離株,被馴化為無血清懸浮培養 |
|
穩定表達 |
CHO-K1,CHO-K1由CHO衍生而來,該細胞株培養條件簡單、貼壁強度適中,比較容易轉染 |
|
穩定細胞株構建 |
DG44,DG44 細胞(二氫葉酸還原酶缺陷型 , DHFR-)由中國倉鼠卵巢(CHO)細胞衍生而來,常用于構建適合重組蛋白生產的細胞系。DG44細胞篩選和共擴增標記是DHFR基因(dhfr) |
表達載體:pcDNA3.1, pIRES, pTT3, pCEP4,pATX1等

聯系我們





